Quick and easy diagnosis of dental problems with a minimal dose of radiation in our practice is ensured by the use of the most modern radiological methods.
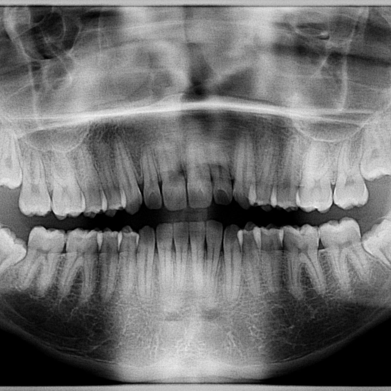
Orthopantomogram
X-ray panoramic two-dimensional image of the jaw that enables quick and easy diagnosis of almost all dental problems.
In addition to the classic orthopantomogram, a bitewing scan and scans of the maxillary sinuses and temporomandibular joint are also available.
RVG digital recording
We offer the service of x-ray imaging of individual teeth.
The device for imaging RVG images has a sensor that reproduces the image on the screen, which enables a smaller dose of X-ray radiation up to 90%, and the image is obtained in just a few seconds. It is possible to process the image by computer and thus see the anatomical structures of the teeth more precisely.
Our works
Questions and answers
How often should you visit the dentist?
Dentists recommend visiting them 2 to 3 times a year at intervals of 4 to 6 months or as needed. Namely, the visits are extremely important because this period is necessary for caries to develop, and if more than that time passes, an acute painful condition may occur. Book your appointment today and save yourself unnecessary pain.
Fear of dentists and dental procedures?
Previous unpleasant experiences of going to the dentist are the most common reason for fear of dentists and dental procedures. It is important to note that modern dentistry ensures complete painlessness with the use of local anesthetics and thus minimizes discomfort during the procedure. The pleasant and friendly atmosphere provided by our team is an additional bonus, which ensures the complete removal of fear.
Why is it important at least once a year to remove tartar and perform a professional teeth cleaning?
On all teeth, plaque accumulates in the area of the tooth neck – food residues infiltrated with bacteria that organize into solid accumulations and eventually tartar, thus causing inflammation of the surrounding tissue. If plaque and calculus are not professionally cleaned, an inflammatory condition occurs, which causes painful conditions and food accumulation.
As a result, a periodontal pocket is formed and bone loss in that area around the tooth. All of this eventually results in loose teeth, bleeding gums and, in the worst case, tooth loss.
Don’t let that happen to you. Book an appointment at DA-DENT today.
Our team of experts extracts teeth painlessly and without unpleasant consequences for the patient.
Our experienced team of experts extracts teeth painlessly and without unpleasant consequences for patients. This is precisely why tooth extraction is a routine procedure for us and our patients.
Instructions after tooth extraction
After leaving the office, the patient should avoid smoking cigarettes, hot food and drinks, carbonated drinks and alcohol. After the anesthesia wears off, you may feel mild pain, for which we recommend taking an analgesic based on paracetamol or brufen (DO NOT take aspirin or analgesics based on acetylsalicylic acid).
How to choose the right toothbrush and toothpaste?
Faced with a large selection of brushes and toothpastes in the over-the-counter market, we often do not know which brush to choose. When choosing a brush, it is crucial to note that it must be a brush with soft fibers. which are gentle on the teeth and gums and reduce the risk of enamel damage.
Electric brushes also effectively remove deposits and make teeth healthy. It should be noted that proper tooth brushing technique and changing the brush every 2-3 months or when the brush “blooms” is extremely important.
The best toothpaste does not exist because most toothpastes have a similar composition. The most important component of toothpaste is fluorides. The conclusion is that teeth are cleaned by high-quality brushing and a soft brush, and that most toothpastes are good.
What are the reasons for tooth loss?
There are many reasons why a person can lose teeth. However, the most common reasons are inadequate oral hygiene, dental caries and periodontitis. Regular visits to the dentist and education can prevent tooth loss.
When should the child be taken to the dentist for the first time?
The child should visit the dentist as soon as the first teeth erupt, so that the dentist will explain and show you everything about the maintenance of baby teeth and warn you about the danger of “bottle caries”. This is the period between 7 – 16 months of age.
Certainly do not allow the first meeting between your child and the dentist to be in the case of an emergency when the child is already in pain, because that is when the procedure is the most painful and the child may develop a fear of the dentist
When to start brushing children's teeth?
You should start brushing your teeth as soon as they erupt. There are special children’s toothbrushes that can be used to brush the first baby teeth, which are soft and atraumatic and help children to develop proper tooth brushing habits through play.
Why dental implants?
Dental implants are one of the greatest discoveries of modern dental medicine. High-quality materials ensure the natural appearance of the teeth and high functionality. In addition, dental implants protect the bone and are a long-term solution for a perfect smile that gives you a feeling of self-confidence and happiness. Dental implants are easy to clean and completely safe.
Who is All-on-4 / All-on-6 for?
We use the mentioned techniques in patients who are completely toothless and in patients who have problems with classic dentures or getting used to them. In addition, the method is used in patients whose teeth are in extremely bad condition, where extraction of all teeth is the only solution.
Didn’t find the answer?
Contact us and our expert team will answer you as soon as possible.
Book your dental examination today
and step towards a beautiful smile.
Book your dental examination today
and step towards a beautiful smile.




